First Floor, R.V. Buidling, Kodungallur - 680664, Kerala, India.

Depigmentation

Our Clinic has grown to provide a world class facility for the treatment of tooth loss, dental cosmetics and advanced restorative dentistry.

Depigmentation

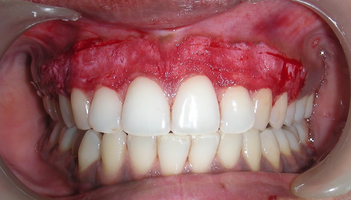
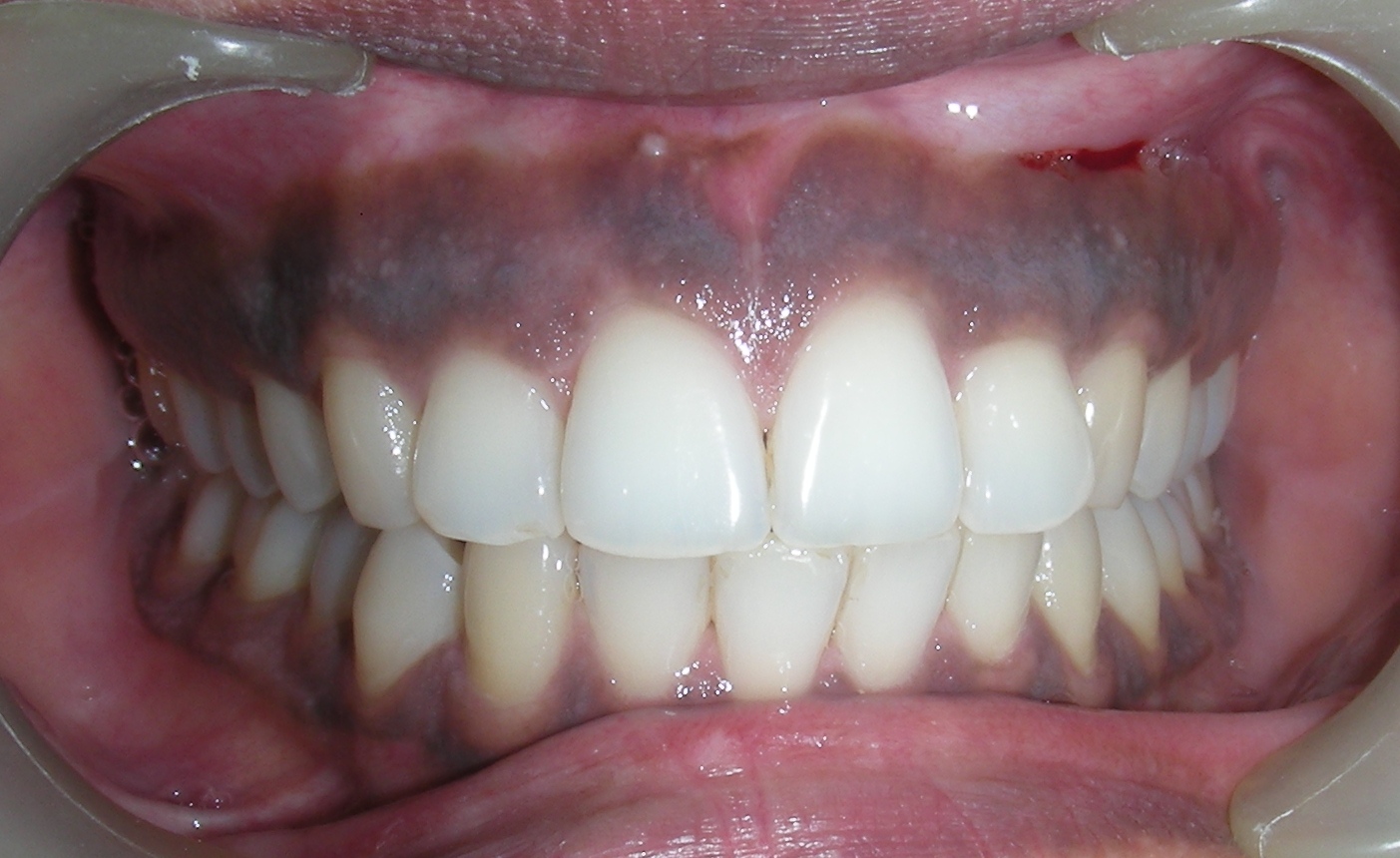
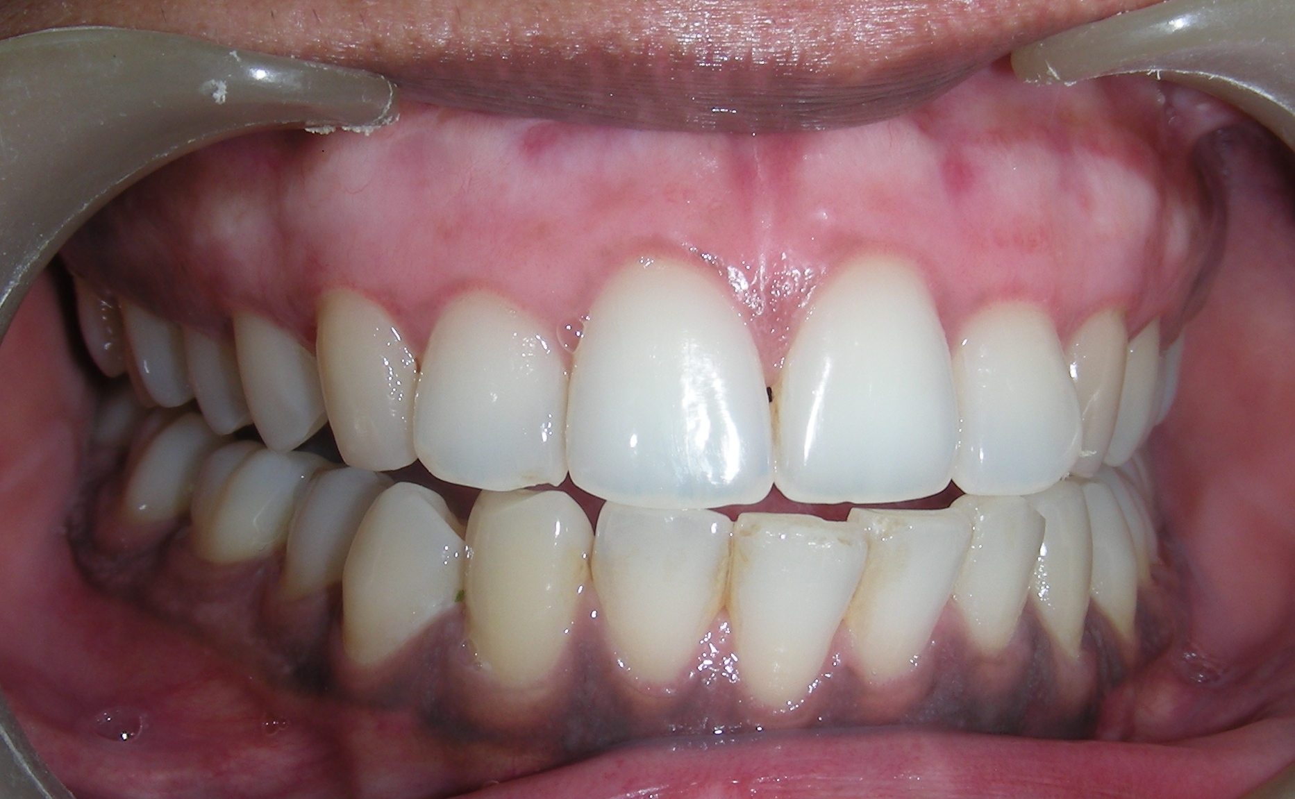
The normal colour of our gums is pink but like our skin some people have excess deposits of melanin which may cause gums to appear black. The blackish appearance of gums may also occur due to some medications.

Treatment involves depigmentation of gums by surgical or laser techniques.

Surgical Depigmentation

The first step is to anesthetize the gingival area to be depigmented. With a surgical blade a layer of gingiva is incised and the layer is peeled off. A periodontal pack is given and the underlying gingiva is allowed to heal. The healed gingiva will be lighter when compared to the original melanin filled layer.

Laser Depigmentation

Laser depigmentation is a method now increasingly being used because of its non invasive and less painful nature. It also requires anaesthesia and the laser is directed at the pigmented areas. Unlike in surgical depigmentation a periodontal pack is not required. You will be asked to come in to the dental office after a couple of days to review the healing.

A case of gingival depigmentation done by our Periodontist Dr. Azlam can be seen above.

Enquiry

!
!

Enquiry

!
!

Cheap dental Implants India
Wyatt Esmond
General Dentist
OPENING HOURS
immediate dental implants
Monday
Tuesday
Wednesday
Thursday
Friday
Saturday
Sunday
Closed
9:00 am - 7:15 pm
9:00 am - 7:15 pm
9:00 am - 7:15 pm
9:00 am - 7:15 pm
9:00 am - 7:15 pm
Closed

Enquiry

!
!

dental implants india
Arnie Alban
Pedodontics
OPENING HOURS
Affordable Dental Implants
Monday
Tuesday
Wednesday
Thursday
Friday
Saturday
Sunday
Closed
9:00 am - 7:15 pm
9:00 am - 7:15 pm
9:00 am - 7:15 pm
9:00 am - 7:15 pm
9:00 am - 7:15 pm
Closed

Enquiry

!
!

Low cost dental implants india
Dustin Callahan
Ortodontist
OPENING HOURS
Cheap dental Implants India
Monday
Tuesday
Wednesday
Thursday
Friday
Saturday
Sunday
Closed
9:00 am - 7:15 pm
9:00 am - 7:15 pm
9:00 am - 7:15 pm
9:00 am - 7:15 pm
9:00 am - 7:15 pm
Closed

Enquiry

!
!

dental implants kerala
Kristin Weaver
Hygienist
OPENING HOURS
dental implant cost india
Monday
Tuesday
Wednesday
Thursday
Friday
Saturday
Sunday
Closed
9:00 am - 7:15 pm
9:00 am - 7:15 pm
9:00 am - 7:15 pm
9:00 am - 7:15 pm
9:00 am - 7:15 pm
Closed

Enquiry

!
!

Cheap Dental Implants
Leslie Adams
Prosthodontics
OPENING HOURS
dental implant cost india
Monday
Tuesday
Wednesday
Thursday
Friday
Saturday
Sunday
Closed
9:00 am - 7:15 pm
9:00 am - 7:15 pm
9:00 am - 7:15 pm
9:00 am - 7:15 pm
9:00 am - 7:15 pm
Closed